Noticias publicadas el 1 de septiembre de 2023
Cuanto antes empecemos a controlar los factores de riesgo cardiovascular, mejor para nuestro cerebro
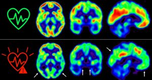
Las enfermedades cardiovasculares y la demencia coexisten en etapas avanzadas en muchas ocasiones; sin embargo, hay pocos estudios longitudinales en personas de mediana edad, 50 años, que hayan evaluado la interacción entre la aterosclerosis y sus factores de riesgo sobre la salud del cerebro. Ahora, una investigación realizada en el Centro Nacional de Investigaciones Cardiovasculares […]



